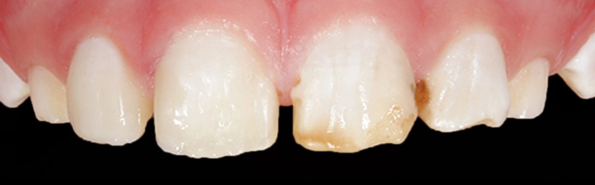
Лечение флюороза у детей

Флюороз у детей

Вы оставляете заявку на ПЕРВЫЙ прием к врачу. Если вы уже наблюдаетесь у нас, позвоните
Почему мы
Только современные методики
Самые ответственные стоматологи
Предельная безопасность лечения
Наша команда докторов уникальна
Лечение болезней зубов у детей
Другие услуги
Лечение болезней зубов у детей
Диагностика
Экспертиза врачей + поддержка ИИ. Точно, без ошибок
Диагностика и профилактика болезней зубов у детей
Профилактика
Защитим зубы от кариеса — надежно и надолго
Профилактика
Ортодонтия: элайнеры, брекеты, пластинки
Ровные зубы с детства и на всю жизнь
Ортодонтия (правильный прикус, ровные зубы)
Адаптация, закись азота, наркоз
Без стресса. Предельно безопасно!
Адаптация, закись азота, наркоз
Удаление зубов, хирургия
Самые нежные хирурги-стоматологи
Детская стоматологическая хирургия
Лечение травм зубов
Экспертная и срочная помощь по спасению зубов
Травма молочных и постоянных зубов у детей
Лечение зубов особенным детям
Более 20 лет нам доверяют мамы особенных детей
Дентал Фэнтези — особенным детям
Лечим детей из других городов и стран
Пациенты из 300 городов по всему миру
Лечим детей из других городов и стран
Подробно
Подробно
Подробно
Подробно
Подробно
Подробно
Подробно
Подробно
Подробно
Подробно
Подробно
Подробно
Подробно
Подробно
Киевская Новая клиника!
Брянская улица, 7
Кунцевская
Молодогвардейская, д. 2, к. 1
Проспект Мира
Пр. Мира, д. 36, стр. 1
Речной вокзал
Ленинградское шоссе, 92А
Новые Черемушки
Гарибальди, д. 15
Фрунзенская
Ефремова, д. 10, к. 2
Киевская Новая клиника!
Брянская улица, 7
Новые Черемушки
ул. Гарибальди, д. 36
Киевская Новая клиника!
Брянская улица, 7
Кунцевская
Молодогвардейская, д. 2, к. 1
Проспект Мира
Пр. Мира, д. 36, стр. 1
Речной вокзал
Ленинградское шоссе, 92А
Новые Черемушки
Гарибальди, д. 15
Фрунзенская
Ефремова, д. 10, к. 2
Киевская Новая клиника!
Брянская улица, 7
*
Социальная сеть Instagram принадлежит компании Meta Platforms Inc., которая запрещена на территории РФ

Колл-центр:
(8:00–22:00)
Для связи по PR-вопросам: pr@fantasyclinic.ru
©1995–2026 Дентал Фэнтези
Разработка и поддержка — WebCoalition
Имеются противопоказания. Проконсультируйтесь со специалистом Имеются противопоказания. Проконсультируйтесь со специалистом