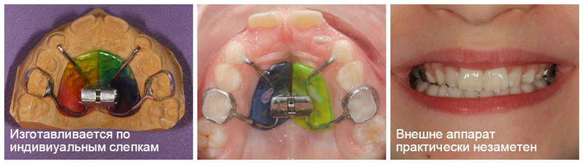
Несъемный аппарат для расширения верхней челюсти (аппарат Марко Роса)

Несъемный аппарат для расширения верхней челюсти (аппарат Марко Роса)

Вы можете записаться по телефону
Почему мы
Ставим несъемные пластинки
Брекеты всех видов
Лечение без брекетов
Отличные ортодонты
Ортодонтия (правильный прикус, ровные зубы)
Другие услуги
Диагностика
Экспертиза врачей + поддержка ИИ. Точно, без ошибок
Диагностика и профилактика болезней зубов у детей
Профилактика
Защитим зубы от кариеса — надежно и надолго
Профилактика
Лечение кариеса, пульпита
Лечим в один визит, спасаем зубы от удаления
Лечение болезней зубов у детей
Адаптация, закись азота, наркоз
Без стресса. Предельно безопасно!
Адаптация, закись азота, наркоз
Удаление зубов, хирургия
Самые нежные хирурги-стоматологи
Детская стоматологическая хирургия
Лечение травм зубов
Экспертная и срочная помощь по спасению зубов
Травма молочных и постоянных зубов у детей
Лечение зубов особенным детям
Более 20 лет нам доверяют мамы особенных детей
Дентал Фэнтези — особенным детям
Лечим детей из других городов и стран
Пациенты из 300 городов по всему миру
Лечим детей из других городов и стран
Подробно
Подробно
Подробно
Подробно
Подробно
Подробно
Подробно
Подробно
Подробно
Подробно
Подробно
Подробно
Подробно
Подробно
Киевская Новая клиника!
Брянская улица, 7
Кунцевская
Молодогвардейская, д. 2, к. 1
Проспект Мира
Пр. Мира, д. 36, стр. 1
Речной вокзал
Ленинградское шоссе, 92А
Новые Черемушки
Гарибальди, д. 15
Фрунзенская
Ефремова, д. 10, к. 2
Киевская Новая клиника!
Брянская улица, 7
Новые Черемушки
ул. Гарибальди, д. 36
Киевская Новая клиника!
Брянская улица, 7
Кунцевская
Молодогвардейская, д. 2, к. 1
Проспект Мира
Пр. Мира, д. 36, стр. 1
Речной вокзал
Ленинградское шоссе, 92А
Новые Черемушки
Гарибальди, д. 15
Фрунзенская
Ефремова, д. 10, к. 2
Киевская Новая клиника!
Брянская улица, 7
*
Социальная сеть Instagram принадлежит компании Meta Platforms Inc., которая запрещена на территории РФ

Колл-центр:
(8:00–22:00)
Для связи по PR-вопросам: pr@fantasyclinic.ru
©1995–2026 Дентал Фэнтези
Разработка и поддержка — WebCoalition
Имеются противопоказания. Проконсультируйтесь со специалистом Имеются противопоказания. Проконсультируйтесь со специалистом