Решили все проблемы прикуса с помощью несъемного аппарата

Ваш результат может отличаться от фото. Проконсультируйтесь со специалистом
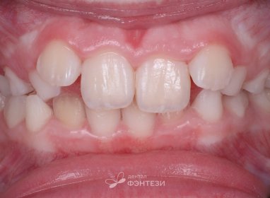
До
После

Проблема: скученность зубов, перекрестный прикус справа, сужение зубного ряда верхней и нижней челюсти. Лечение на несъемном аппарате. Срок лечения 1 год и 1 месяц.

Назад
*
Социальная сеть Instagram принадлежит компании Meta Platforms Inc., которая запрещена на территории РФ

Колл-центр:
(8:00–22:00)
Для связи по PR-вопросам: pr@fantasyclinic.ru
©1995–2026 Дентал Фэнтези
Разработка и поддержка — WebCoalition
Имеются противопоказания. Проконсультируйтесь со специалистом Имеются противопоказания. Проконсультируйтесь со специалистом