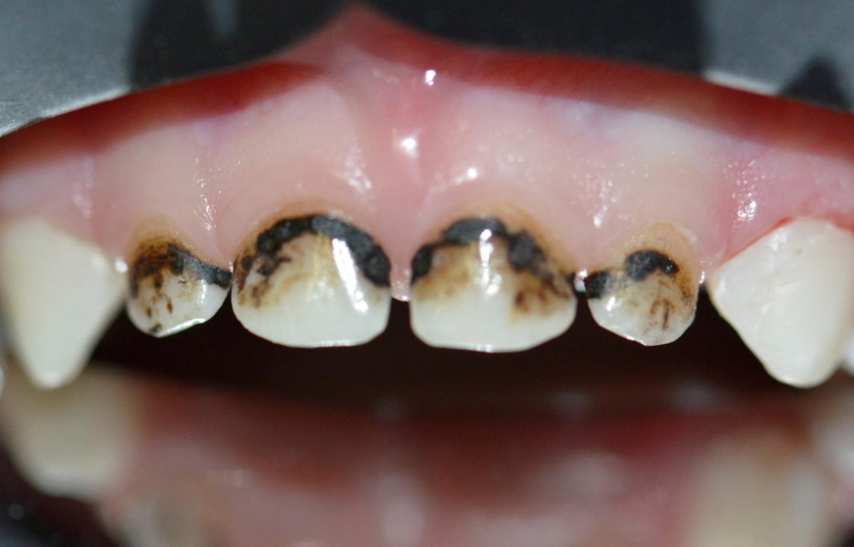
Серебрение зубов у детей — в вопросах и ответах

29.05.2023
Читайте также
Кариес
Почему появляются дырки в зубах и как они связаны с кариозным поражением
19.03.2026
Почему появляются дырки в зубах и как они связаны с кариозным поражением
Кариес
Что будет если не лечить кариес и почему это опасно
19.03.2026
Что будет если не лечить кариес и почему это опасно
Кариес
Белый кариес у детей: что это такое и как вовремя распознать
18.03.2026
Белый кариес у детей: что это такое и как вовремя распознать
Кариес
Может ли быть кариес на передних зубах у детей
17.03.2026
Может ли быть кариес на передних зубах у детей
Кариес
Болят ли молочные зубы при кариесе
07.11.2025
Болят ли молочные зубы при кариесе
Кариес
Что делать если у ребенка появился кариес
24.09.2025
Что делать если у ребенка появился кариес
Кариес
Когда при кариесе удаляют нерв в зубе
17.09.2025
Когда при кариесе удаляют нерв в зубе
Кариес
Ребенку 2 года, на зубах кариес: что делать родителям?
14.09.2025
Ребенку 2 года, на зубах кариес: что делать родителям?
Кариес
Как начинается кариес у детей
12.09.2025
Как начинается кариес у детей
Кариес
Пришеечный кариес у детей
13.03.2025
Пришеечный кариес у детей
Кариес
Кариес у подростков
26.02.2025
Кариес у подростков
Кариес
Пульпит молочного зуба: лечение
24.08.2023
Пульпит молочного зуба: лечение
Лечение зубов
Композитные коронки на молочные зубы
17.04.2023
Композитные коронки на молочные зубы
Лечение зубов
Металлические коронки для молочных зубов
03.04.2023
Металлические коронки для молочных зубов
*
Социальная сеть Instagram принадлежит компании Meta Platforms Inc., которая запрещена на территории РФ

Колл-центр:
(8:00–22:00)
Для связи по PR-вопросам: pr@fantasyclinic.ru
©1995–2026 Дентал Фэнтези
Разработка и поддержка — WebCoalition
Имеются противопоказания. Проконсультируйтесь со специалистом Имеются противопоказания. Проконсультируйтесь со специалистом