Решили все проблемы с прикусом за 1 год и 2 месяца

Ваш результат может отличаться от фото. Проконсультируйтесь со специалистом
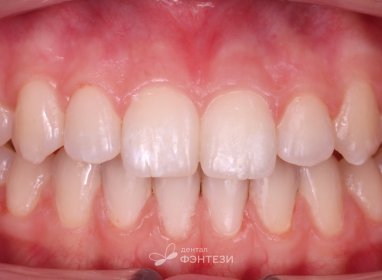
До
После

Юная пациентка пришла к нам за красивой улыбкой. Проблемы, которые обнаружились в ходе полной диагностики: скученность зубов, глубокий прикус, тенденция к стираемости зубов, десневая улыбка.

Было проведено лечение на брекет-системе, срок — всего 1 год 2 месяца. Результат: ровные зубы, идеальный прикус, красивая гармоничная улыбка.

Назад
*
Социальная сеть Instagram принадлежит компании Meta Platforms Inc., которая запрещена на территории РФ

Колл-центр:
(8:00–22:00)
Для связи по PR-вопросам: pr@fantasyclinic.ru
©1995–2026 Дентал Фэнтези
Разработка и поддержка — WebCoalition
Имеются противопоказания. Проконсультируйтесь со специалистом Имеются противопоказания. Проконсультируйтесь со специалистом