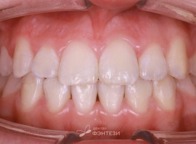
Идеально ровные зубы после лечения на брекетах!

Ваш результат может отличаться от фото. Проконсультируйтесь со специалистом
До
После

Пациетка пришла к нам за ровными зубами. Мы провели исчерпывающую диагностику и выявили эти проблемы: скученность зубов, сужение зубных рядов, дефицит места для клыков. Доктор Хамраева спланировала лечение из 2 этапов: хирургия, затем ортодонтия.

Сначала девушке удалили премоляры, чтобы создать место для перемещения зубов. Затем установили брекет-систему. Все лечение заняло 2 года и 2 месяца. Посмотрите, как идет новая улыбка нашей пациентке! Лицо, как с обложки журнала!

Назад
*
Социальная сеть Instagram принадлежит компании Meta Platforms Inc., которая запрещена на территории РФ

Колл-центр:
(8:00–22:00)
Для связи по PR-вопросам: pr@fantasyclinic.ru
©1995–2026 Дентал Фэнтези
Разработка и поддержка — WebCoalition
Имеются противопоказания. Проконсультируйтесь со специалистом Имеются противопоказания. Проконсультируйтесь со специалистом