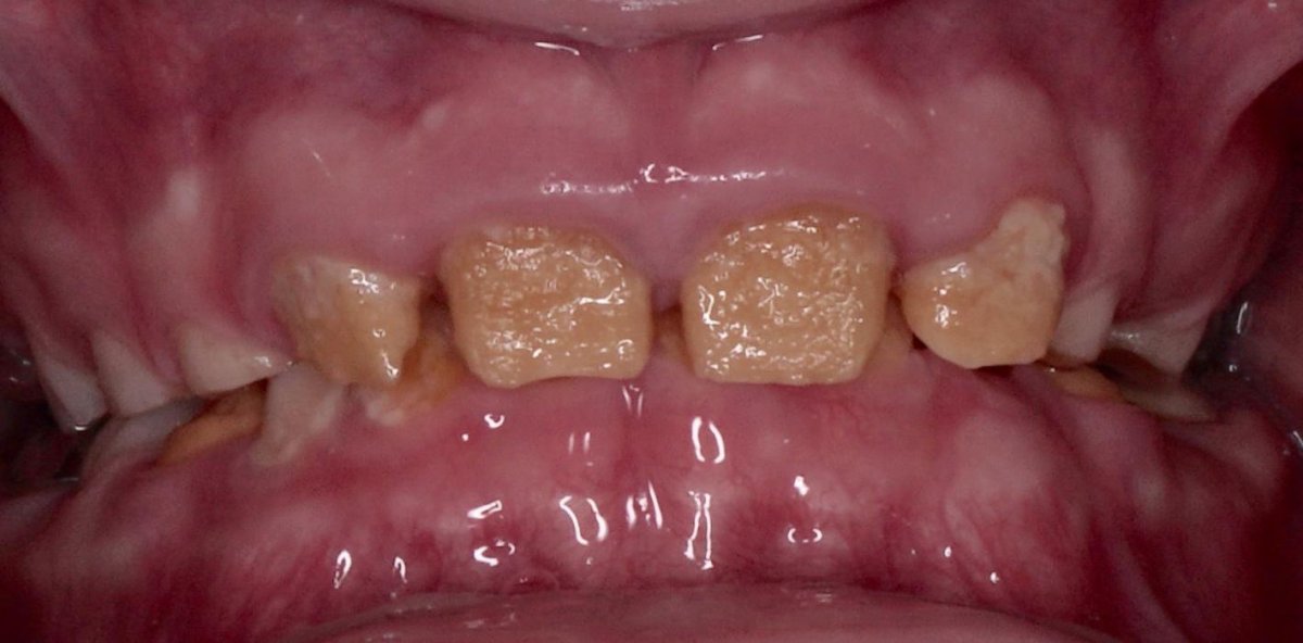
Гипоплазия эмали зубов

Читайте также
Лечение зубов
Рвотный рефлекс у детей при лечении зубов
24.11.2025
Рвотный рефлекс у детей при лечении зубов
Лечение зубов
У ребенка сгнили передние зубы — что делать
17.11.2025
У ребенка сгнили передние зубы — что делать
Лечение зубов
Нужно ли лечить кариес перед установкой брекетов
14.08.2025
Нужно ли лечить кариес перед установкой брекетов
Лечение зубов
Сколько может болеть зуб, если его не лечить
11.08.2025
Сколько может болеть зуб, если его не лечить
Лечение зубов
Разница между обратимым и необратимым пульпитом молочного зуба
30.07.2025
Разница между обратимым и необратимым пульпитом молочного зуба
Лечение зубов
Симптомы пульпита зуба у ребенка: как понять, что зуб болит не просто так
04.07.2025
Симптомы пульпита зуба у ребенка: как понять, что зуб болит не просто так
Лечение зубов
Бывает ли пульпит у детей – что важно знать родителям
25.06.2025
Бывает ли пульпит у детей — что важно знать родителям
Лечение зубов
Цветные детские пломбы – зачем они нужны?
24.03.2025
Цветные детские пломбы — зачем они нужны?
Лечение зубов
Лечить или удалять молочные зубы?
10.06.2023
Лечить или удалять молочные зубы?
Лечение зубов
Пломбирование молочных зубов
26.05.2023
Пломбирование молочных зубов
Лечение зубов
Эрозия эмали у детей
15.05.2023
Эрозия эмали у детей
Лечение зубов
Свищ на десне у ребенка. Что делать родителям?
11.05.2023
Свищ на десне у ребенка. Что делать родителям?
Лечение зубов
Композитные коронки на молочные зубы
17.04.2023
Композитные коронки на молочные зубы
Лечение зубов
Металлические коронки для молочных зубов
03.04.2023
Металлические коронки для молочных зубов
*
Социальная сеть Instagram принадлежит компании Meta Platforms Inc., которая запрещена на территории РФ

Колл-центр:
(8:00–22:00)
Для связи по PR-вопросам: pr@fantasyclinic.ru
©1995–2026 Дентал Фэнтези
Разработка и поддержка — WebCoalition
Имеются противопоказания. Проконсультируйтесь со специалистом Имеются противопоказания. Проконсультируйтесь со специалистом